マウスピース矯正症例集Mouthpiece case
マウスピース矯正の症例
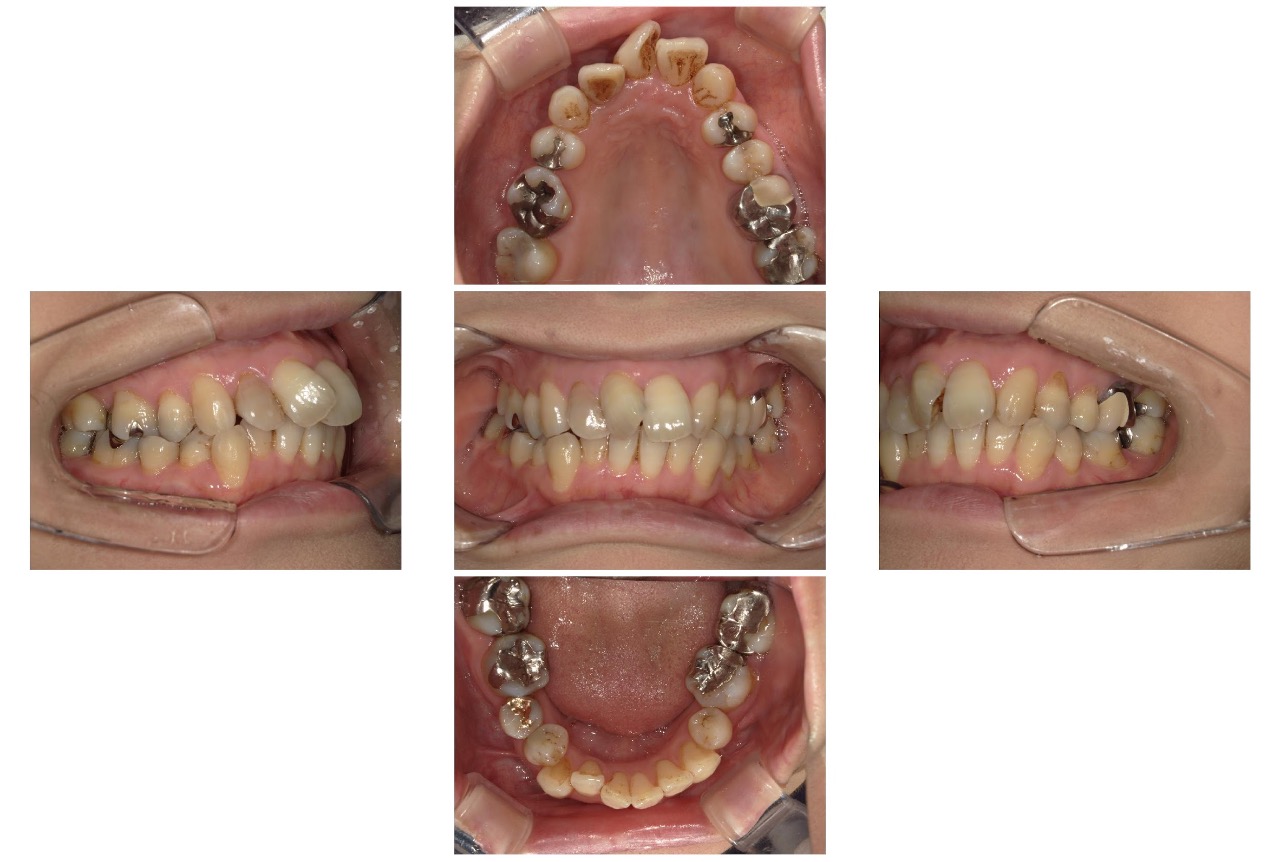
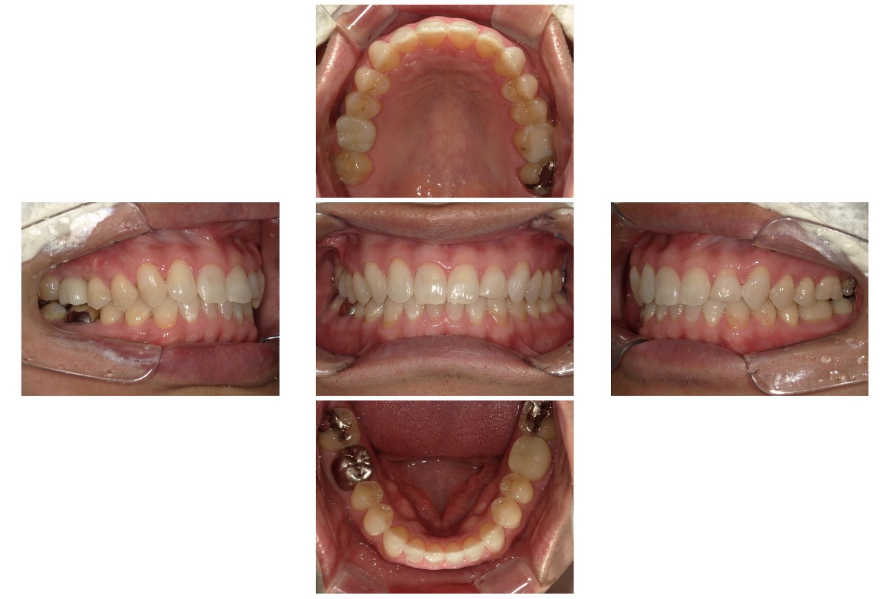
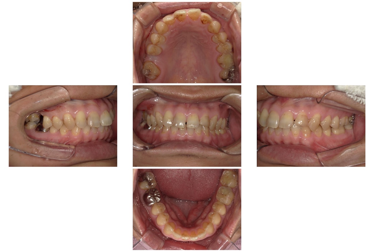
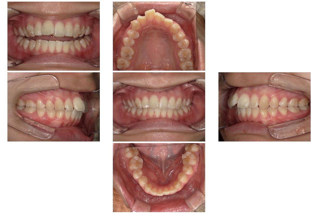
Case.01
治療前
治療後
治療前
治療後
| 主訴 | 前歯の歯並びが気になる |
|---|---|
| 治療 期間 | 約4か月 |
| 治療費 | 350,000円 (税込385,000円) |
| 治療 内容 | マウスピース(インビザラインGO)を装着して歯を動かします。 |
| 治療の リスク | 規定時間以上装着しないと、予定通りに歯が動かないことがあります。 |
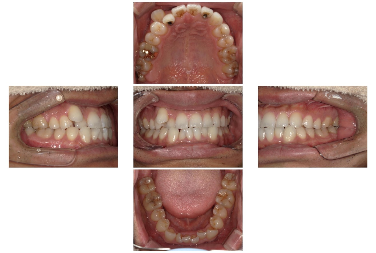
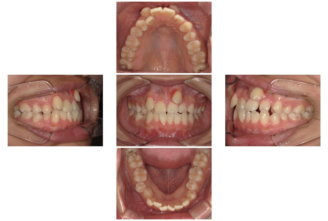
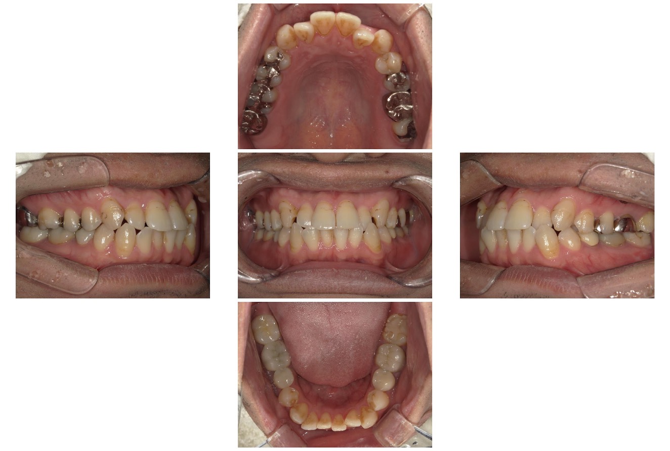
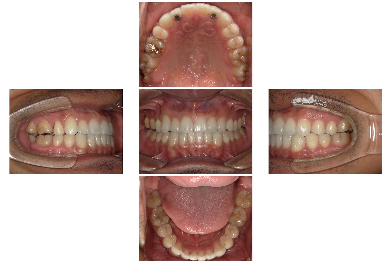
Case.02
治療前
治療後
| 主訴 | 上も下も凸凹してるのが気になる |
|---|---|
| 治療 期間 | 2年4カ月 |
| 治療費 | 880,000円 (税込968,000円) |
| 治療 内容 | インビザライン・顎間ゴム |
| 治療の リスク | 1日に20時間以上装着しないと、予定通りに歯が動かないことがあります。 装着後数日痛みがあります。 |
Case.03
治療前
治療後
| 主訴 | 上の八重歯と、上下の凸凹がきになる |
|---|---|
| 治療 期間 | 2年 |
| 治療費 | 880,000円 (税込968,000円) |
| 治療 内容 | インビザライン 右上3、左上3、右下4、左下4 抜歯 顎間ゴム |
| 治療の リスク | 1日に20時間以上装着しないと、予定通りに歯が動かないことがあります。装着後数日痛みがあります。 |
Case.04
治療前
治療後
| 主訴 | 受け口を治したい |
|---|---|
| 治療 期間 | 2年 |
| 治療費 | 880,000円 (税込968,000円) |
| 治療 内容 | インビザライン 顎間ゴム |
| 治療の リスク | 1日に20時間以上装着しないと、予定通りに歯が動かないことがあります。 装着後数日痛みがあります。 |
Case.05
治療前
治療後
| 主訴 | 上の前歯が飛び出してるのを治したい |
|---|---|
| 治療 期間 | 3ヵ月 |
| 治療費 | 350,000円 (税込385,000円) |
| 治療 内容 | インビザラインGo 上顎のみ |
| 治療の リスク | 1日に20時間以上装着しないと、予定通りに歯が動かないことがあります。 装着後数日痛みがあります。 |
Case.06
治療前
治療後
| 主訴 | 八重歯と上下の凸凹を治したい |
|---|---|
| 治療 期間 | 2年6ヶ月 |
| 治療費 | 880,000円 (税込968,000円) |
| 治療 内容 | インビザライン 右上4 抜歯 顎間ゴム |
| 治療の リスク | 1日に20時間以上装着しないと、予定通りに歯が動かないことがあります。 装着後数日痛みがあります。 |
Case.07
治療前
治療後
| 主訴 | 上下の凸凹と重なりを治したい |
|---|---|
| 治療 期間 | 1年 |
| 治療費 | 450,000円 (税込495,000円) |
| 治療 内容 | インビザラインGo |
| 治療の リスク | 1日に20時間以上装着しないと、予定通りに歯が動かないことがあります。 装着後数日痛みがあります。 |
Case.08
治療前
治療後
| 主訴 | 前歯のすきっぱを治したい。右上の奥歯にインプラントを入れたいけどスペースがなくインプラントを入れられないと言われた。 |
|---|---|
| 治療 期間 | 1年6ヶ月 |
| 治療費 | 880,000円 (税込968,000円) |
| 治療 内容 | インビザライン 顎間ゴム |
| 治療の リスク | 規定時間以上装着しないと、予定通りに歯が動かないことがあります。 装着後数日痛みがあります。 |


