インプラント症例集Implant case
インプラント治療の症例
Case.01
![]() |
![]() |
|---|
| 主訴 | 歯を抜いたので歯を入れたい |
|---|---|
| 治療期間 | 2か月 |
| 治療費 | 330,000円(税込363,000円) |
| 治療内容 | インプラントを顎の骨に埋入して、セラミックの被せ物を被せます。 セメント固定の土台とジルコニアシンプルを利用しています。費用を抑えることができます。 |
| 治療のリスク | インプラント周囲炎になることがあります。両隣の歯が将来抜歯になった場合、ブリッジの治療が選択できません。 |
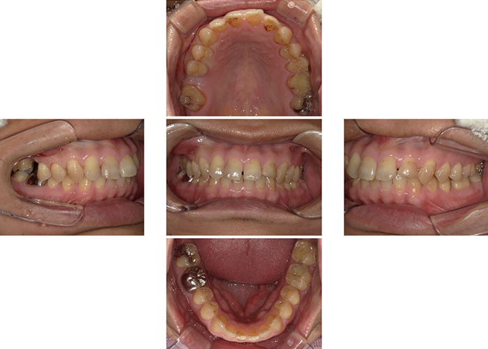
Case.02
![]() |
![]() |
|---|
| 主訴 | 歯を抜いたので歯を入れたい |
|---|---|
| 治療期間 | 6か月 |
| 治療費 | 990,000円(税込1,089,000円) |
| 治療内容 | 右下の奥歯に2本インプラントを入れて、 3歯分の被せ物(ジルコニアベーシックブリッジ)を被せます。 |
| 治療のリスク | インプラント周囲炎になることがあります。 両隣の歯が将来抜歯になった場合、ブリッジの治療が選択できません。 |
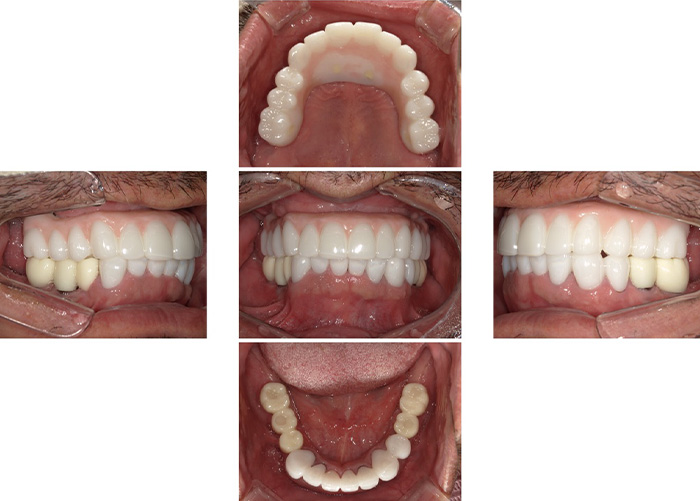
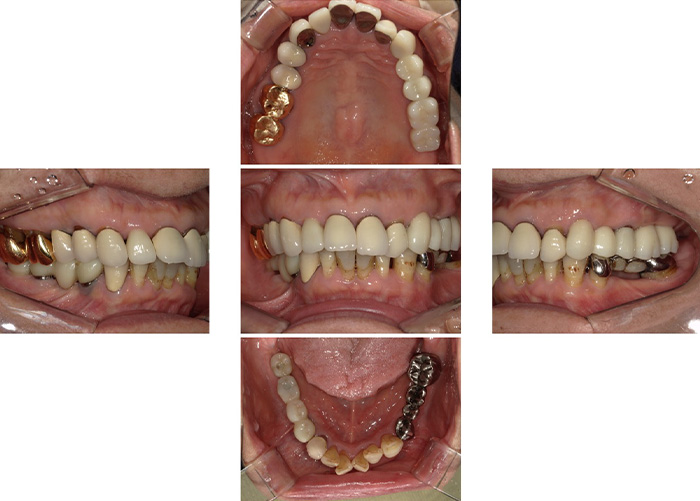
Case.03
![]() ![]() |
![]() ![]() |
|---|
| 主訴 | 上の歯が全部ぐらぐら動く |
|---|---|
| 治療期間 | 12か月 |
| 治療費 | 3,000,000円(税込3,300,000円)(ALL ON 4) |
| 治療内容 | 4本のインプラントで上の歯をすべて補う治療法です。 抜歯をしたその日に仮歯を入れることも可能です。 |
| 治療のリスク | 一時的な鼻出血、内出血、眼出血、上顎洞炎、腫脹のリスクがあります。 |
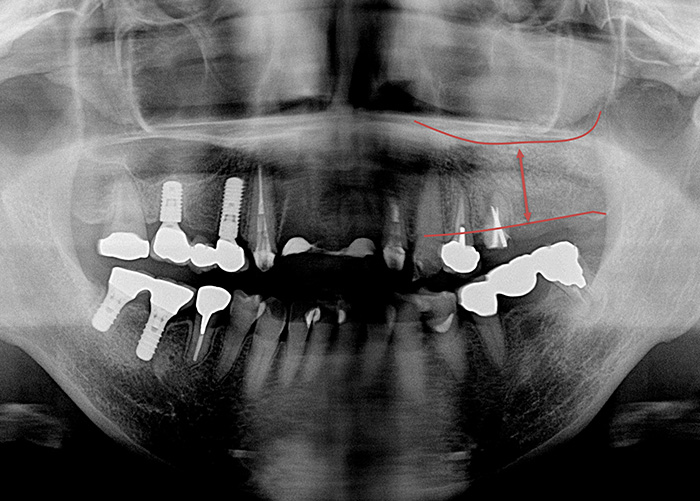
Case.04
![]() |
![]() |
|---|
| 主訴 | 上も下もぐらぐらしたり腫れたりして噛めない |
|---|---|
| 治療期間 | 1年 |
| 治療費 | 300,000円(税込330,000円)上顎All On 4 |
| 治療内容 | 4本のインプラントを入れて、12本の歯を支えます。 抜歯当日にインプラントを入れて、仮歯を装着します。 |
| 治療のリスク | インプラントは歯周病になる可能性があります。 一定の割合で生着しないで再埋入が必要になる場合があります。 |
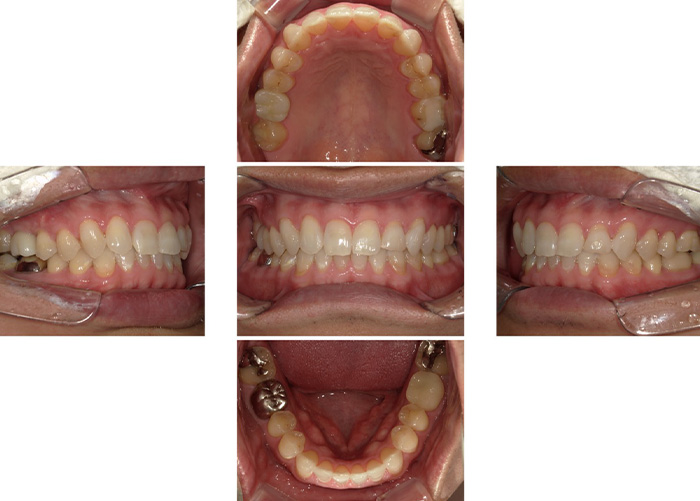
Case.05
![]() |
![]() |
|---|
| 主訴 | 右上の奥歯が歯がないので入れたい |
|---|---|
| 治療期間 | 6ヵ月 |
| 治療費 | 390,000円(税込429,000円)(インプラントリーズナブルプラン1歯) |
| 治療内容 | 右上の奥歯にインプラントを入れて、被せ物(ジルコニアシンプル)を被せます。 |
| 治療のリスク | インプラントは歯周病になる可能性があります。 一定の割合で生着しないで再埋入が必要になる場合があります。 |
Case.06
![]() |
![]() |
|---|
| 主訴 | 左上に歯がないので歯を入れたい |
|---|---|
| 治療期間 | 6ヵ月 |
| 治療費 | 780,000円(税込858,000円)(インプラントリーズナブルプラン2歯) |
| 治療内容 | 左上の奥歯に2本インプラントを入れて、2歯分の被せ物(ジルコニアシンプル)を被せます。 |
| 治療のリスク | インプラントは歯周病になる可能性があります。 一定の割合で生着しないで再埋入が必要になる場合があります。 |
Case.07
![]() |
![]() |
|---|
| 主訴 | 左上は骨が少なくインプラントできないといわれた。 |
|---|---|
| 治療期間 | 6か月 |
| 治療費 | 50,000円(税込55,000円)(サイナスリフト クレスタルアプローチ・ソケットリフト) |
| 治療内容 | 左上の顎の骨を一部分だけ増やす治療です。 やせ細った顎の骨と、下がってきた上顎洞粘膜との間に人工骨を入れて、骨ができるのを待ちます。 |
| 治療のリスク | 一時的な鼻出血、内出血、眼出血、上顎洞炎、腫脹のリスクがあります。 |
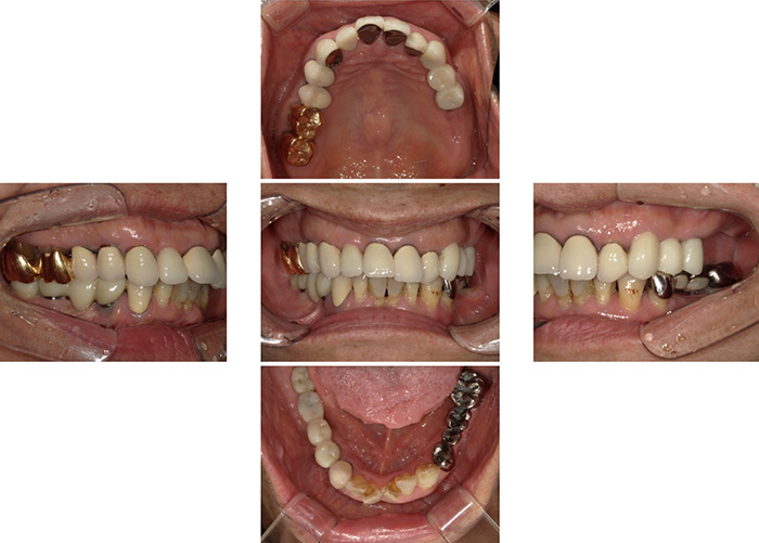
Case.08
![]() |
![]() |
|---|
| 主訴 | 抜歯してインプラントを希望したが骨が少なく入れ歯しかできないと言われた。 |
|---|---|
| 治療期間 | 6か月 |
| 治療費 | 300,000円(税込330,000円)(骨造成治療上顎100,000円(税込110,000円) 下顎200,000円(税込220,000円)) |
| 治療内容 | 人工の骨を骨に足して、ミニインプラントやチタン膜で固定し、骨ができるのを待ちます。 |
| 治療のリスク | 一時的な内出血、知覚鈍麻のリスクがあります。 |
Case.09
![]() |
![]() |
|---|
| 主訴 | 右上は骨が少ないのでインプラントができないと言われた |
|---|---|
| 治療期間 | 3ヵ月 |
| 治療費 | 50,000円(税込5,500円)(骨造成:サイナスリフト クレスタルアプローチ) |
| 治療内容 | 骨を増やす治療です。人工の骨を入れて不足した骨を増生します。 |
| 治療のリスク | 一時的な鼻出血、内出血、眼出血、上顎洞炎、腫脹のリスクがあります。 |
Case.10
![]() |
![]() |
|---|
| 主訴 | 左上は骨がないからインプラントができないといわれた。 |
|---|---|
| 治療期間 | 6か月 |
| 治療費 | 200,000円(骨造成:サイナスリフト ラテラルアプローチ) |
| 治療内容 | 骨を増やす治療です。 人工の骨を入れて不足した骨を増生します。 |
| 治療のリスク | 一時的な鼻出血、内出血、眼出血、上顎洞炎、腫脹のリスクがあります。 |
























