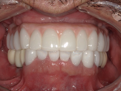
よく噛めて美しい
一切妥協しない
「インプラント」
TROUBLE
こんな歯のお悩み
ありませんか?
- 入れ歯が合わなくなってきた、
噛むたびに痛い - 歯がボロボロで恥ずかしい
- できる限り「短期間」で治療・
「治療費」を抑えたい
こんなお悩みをお持ちの方も
お気軽にご相談ください!
- 他院で骨がないと断れた
- 手術が怖い、痛そう
- 硬いものが噛めず食事が楽しくない
- 健康な歯を削るのに抵抗がある
そういったお悩みや負担を解消し、
より快適な日常生活を取り戻すための
“選択肢”として、
「インプラント」
という治療方法があります。
大学病院レベルの技術で
全工程を「一貫対応」
-
「10年後も安心」の長期安定性
-
世界No.1メーカーを使用
お気軽にご相談ください!
お電話にてご相談のご予約を受け付けています。
お気軽にお問い合わせください。
ABOUT
インプラント治療とは?
10年後も「安心」できる、
本物のインプラント治療をご提案。
インプラント治療とは、歯が失われてしまった部分に人工の歯を埋入する治療のことです。人工の歯根を顎の骨の中に埋め込み、その上に人工の歯を固定します。
入れ歯やブリッジと異なり、隣の歯を削って負担をかけることもありませんし、自分の歯と同じような感覚で違和感なく噛むことができるようになります。
他の治療との比較
FEATURES
当院のインプラント治療が
選ばれる理由
Feature01
世界No.1メーカーの
最上位モデルを
全症例に使用
信頼の実績、世界が選ぶ
ストローマン社
当院では、すべての患者様に世界シェアNo.1のストローマン社製インプラントを使用しております。
さらに、その中でも最上位グレードである「Straumann Roxolid SLActive」のみを採用。
骨との結合力が高く、治癒の早さ・長期安定性に優れた製品です。
成功率97%・生存率98.8%というエビデンスが品質の高さを示しています。
スイスのベルン大学で行われたストローマンインプラントの10年間の臨床研究では、511本のインプラントを使用し、成功率(97%)・生存率(98.8%)が報告されており、長期的な信頼性の高さが証明されています。
Feature02
見た目も噛み心地も妥協しない
「補綴主導型インプラント」
一切妥協しないインプラント
最終的な被せ物(補綴)の理想的な形・位置から逆算し、インプラントを噛み心地と見た目に最適な位置に設計・埋入します。
技工士と院長が共同で設計し、その中心に正確にインプラントを配置。自然な見た目と快適な噛み心地の両立が可能になります。
Feature03
歯ぐきを切らない
「フラップレス手術」にも対応
身体への負担を抑えた、
やさしいインプラント治療
メスを使わず、歯ぐきを切らないフラップレス手術にも対応。術後の腫れや痛みが少なく、身体への負担を最小限に抑えられます。
Feature04
安心の「10年保証」
+ 高い生存率インプラント
安心の「保証」と「実績」
当院のインプラントは、第三者保証機関「ガイドデント」の10年保証に対応しています。
もし引っ越しや災害などで通院が難しくなった場合でも、全国の提携医院で保証を継続できるため、長期にわたって安心です。さらに、当院が採用しているストローマンインプラントは10年生存率98%です。
「保証」と「実績」の両面から、患者さまに安心して治療を受けていただける体制を整えています。
Feature05
寝ている間にできる
無痛インプラント治療
静脈内鎮静法に対応
(麻酔専門医による)
当院では、全ての患者さんに安心して
インプラント治療を受けていただくために、
痛みやストレスをほとんど感じることなく
治療を受けていただける「静脈内鎮静法(点滴麻酔)」にも対応しております。
大学病院レベルの技術で
全工程を「一貫対応」
-
「10年後も安心」の長期安定性
-
世界No.1メーカーを使用
お気軽にご相談ください!
お電話にてご相談のご予約を受け付けています。
お気軽にお問い合わせください。
SECOND OPINION
他院でインプラント治療を
断られてしまった方も
決して諦めないでください!
インプラント治療を検討される方の多くは、歯周病が原因で歯を失っており骨を増やす処置が必要になることも少なくありません。近年では、さまざまな骨造成技術の進歩により、これまで困難とされていた症例でも治療が可能になってきました。ただし、これらの処置には高度な技術が求められ、対応できる歯科医師が限られているのが実情です。
当院では、豊富な知識と技術力を活かし、難しいケースにも柔軟かつ的確に対応しておりますので、他院で治療を断られた方も、ぜひ一度ご相談ください。
-
GBR
顎の骨の不足を補うために行う治療法です。骨を増やしたい部分に骨補填材を入れ、人工膜を被せて骨の再生を促します。歯ぐきを被せて閉じ、約4〜6ヶ月で骨が再生された後、次の治療に進みます。
-
ソケットリフト
(クレスタルアプローチ)上顎の骨が足りない場合に行う治療法です。インプラントを埋める穴から、上顎洞の底を押し上げて骨補填材を入れ、骨の厚みを増やします。傷口は小さく、治癒まで約4〜6ヶ月かかります。
-
サイナスリフト
(ラテラルアプローチ)上顎の奥歯部分で骨の高さが不足している場合に行います。上顎洞の側面から骨を持ち上げ、骨補填材を入れて骨を増やします。手術後、 約6ヶ月で骨が再生され、インプラント治療が可能になります。
複数の歯がない場合には、
オールオン4、
インプラント
オーバーデンチャーを
検討します
-
オールオン4
上顎または下顎すべてを4本または6本のインプラントで固定する治療法です。顎の骨が少ない方でも手術可能で、インプラントでしっかりと固定できるためずれたり、外れたりすることが無く噛むことができます。治療費や身体への負担が少ないというメリットがあります。
-
インプラント
オーバーデンチャー片顎に2~6本のインプラントを埋入し、アタッチメントを取り付けて入れ歯を固定します。インプラントが固定源となるため、通常の入れ歯よりも安定し、「噛みやすい・フィットする・痛くない」を実現します。すべての歯にインプラントを埋入するよりも、身体的・経済的負担が少ないのも特長です。
10年後も安心できる、
安心のインプラント治療を
ご提案します
DOCTOR
下村歯科 院長
下村 昌弘
MASAHIRO SHIMOMURA
痛くなくしてほしい、歯茎を切らないでほしい、骨がないからできないと言われた・・・
歯茎を切らない治療も、難しい症例も当院はすべて受け入れ可能です!
痛み、腫れ、不安をできるだけ患者様には感じてほしくない。そのような思いから、眠ったような状態で治療が終わる【静脈内沈静法】痛みを長時間感じさせない【伝達麻酔(ブロック麻酔)】不安を和らげる【笑気麻酔】など様々な麻酔法を取り入れております。インプラントは外科手術ですので、痛み、腫れ、不安がどうしても伴いますが、ご希望に合わせて様々な麻酔法を組み合わせて患者様へ最善の方法を提案します。
【資格・所属学会】
- 日本口腔インプラント学会
- 日本臨床歯周病学会
- インプラント認証専門医(CIE)
患者さまの満足度調査を
実施しております
少しでも患者さまにとってより良い⻭科医療を提供するため第三者機関のNPO法人 日本⻭科医療評価機構に依頼をし、患者さまの満足度調査を行っています。患者さまの率直なご意見をいただき、改善すべき点は真摯に受け止めていきたいと思っています。
当院には患者さまの個人情報は一切伝えられませんので、是非、皆様の忌憚のないご意見をお聞かせください。NPO法人 日本⻭科医療評価機構の調査結果は以下バナーよりご確認ください。
※日本歯科医療評価機構とは
日本⻭科医療評価機構は、ネットで⻭医者を検索してみたが、どこに行けばいいか分からない、
診療時間や場所のメリットだけではなく、本当に信頼して通える⻭医者を探したい、
そんな患者様のために本当に信頼して通える⻭科医院を評価・認定することを目的とした組織です。
PRICE
料金について
| リーズナブルプラン(奥歯限定) | プレミアムプラン(全ての歯) | |
|---|---|---|
| 総治療費 | 390,000円 (税込 429,000 円) | 450,000円 (税込 495,000 円) |
| フィクスチャー (インプラント体) |
250,000円
(税込 275,000 円) Straumann Roxolid SLActive |
250,000円
(税込 275,000 円) Straumann Roxolid SLActive |
| アバットメント (土台) |
50,000円 (税込 55,000 円) | 50,000円 (税込 55,000 円) |
| 上部構造 (被せ物) |
90,000円 (税込 99,000 円) | 130,000円 (税込 143,000 円) |
| プロビジョナル (仮歯) |
0円 | 20,000円 (税込 22,000 円) |
| インプラント オーバーデンチャー |
ALL ON 4 | |
|---|---|---|
| 総治療費 | 950,000円~ (税込 1,045,000 円~) | 3,000,000円~ (税込 3,300,000 円~) |
※ALL ON 4は、診断料・オペ料・静脈内沈静法・被せ物料すべて込み:被せ物は最高品質のオールジルコニアです。
お支払い方法
各種クレジットカードでの分割払いも
承っています。
また、お手続き簡単で金利の安いデンタル
ローンもご利用いただけます。
デンタルローンについて
お支払い方法は、治療費用を分割払いができるデンタルローンを使用することが可能です。
デンタルローンのお支払い例
-
リーズナブルプラン
5,000円 × 95回
-
プレミアムプラン
5,000円 × 113回
-
All on 4
33,000円 × 113回
医療費控除
インプラント治療は
医療費控除の対象です!
歯の自由診療は高価な材料を使用することが多いため、保険が適用される治療よりも高額になりがちですが、
自由診療であっても機能面に直結する治療は医療費控除の対象となるケースが多いです。
医療費控除とは、自分自身や生計を共ににする家族が一定額以上の医療費を年間で支払った場合に
納めた税金の一部が戻ってくる制度で、確定申告をすれば
翌年6月からの住民税の減額、また還付金を受け取ることができます。
当院ではどのくらいの恩恵があるか明確には分かりかねますので、詳しくは管轄の税務署へご確認ください。
Q&A
よくあるご質問
インプラントについて
- 痛みはありますか?
-
痛みに関しては様々な麻酔を駆使し最大限配慮しております。「まったく痛くなかった」とおっしゃっていただくことも少なくありません。不安なことがございましたら診断時にご相談ください。
- インプラントはどのくらい
持ちますか? -
当院のインプラント(ストローマン)の10年生存率は約99%です。一般的にインプラントの10年生存率は90%と言われており、当院のインプラントは高い生存率を誇ります。
- 抜歯したその日にインプラントを
入れられますか? -
抜歯即時荷重インプラントと呼ばれる治療法です。当院でも対応可能です。リスクがある治療法なのでよく相談したうえで治療法を決定します。
- 年齢制限はありますか?
-
成長期が終わってからになります。健康であれば上限はありません。
- もしインプラントが
ダメになったら? -
補償期間であれば無料で再治療いたします。当院では10年保証をご用意しております。
- インプラントの説明を聞いたうえでするか決めたいのだけど相談したうえでやらない場合の費用は?
-
インプラントの相談に関して、費用は頂いておりません。インプラントがベストかどうかは残っている歯の状況にもよりますので、様々な選択肢をご提案します。そのうえでじっくり悩んでご自身にベストな方法を考えてもらえたらと思います。どのような治療法を選択されても責任をもって治療をいたします。
- 先生はどこでインプラントを
学びましたか? -
東京科学大学(東京医科歯科大学)で3年間臨床をする際に歯科の基本的な事項と先進的な事項を一通り身に着けました。また口腔外科・麻酔科で外科手術と全身管理の基礎を学びました。その後東京都内の医療法人で分院長として勤務し、Allon4などの多数のインプラント手術に立ち会い勉強してまいりました。また在任期間は、再生治療や骨造成・歯肉移植の担当を任せていただき臨床経験を重ねました。歯周病治療・インプラント治療で著名なJIADS東京や、ALLOn4で有名なMALO DENTALMEDICAL TOKYOでの研修も受け、主流派のインプラントを身に着けたうえで開業しております。
All On 4について
- オールオン4とはどのような
治療法ですか? -
上の顎、もしくは下の顎に4本のインプラントを入れて12本のセラミックを被せる治療法です。最大のメリットは手術当日に仮歯が入ることです。他にも通常のインプラントよりも安価で治療が可能であること、固定式のため違和感も少ない事、治療期間が短い事がメリットです。デメリットは、他の治療法より歯磨きがしずらい事です。
- 通常のインプラントと
何が違うのですか? -
通常埋入(歯が1本もない場合)では、骨の不足部位に骨造成を行い、そのうえで8本のインプラントを入れて被せ物を被せます。治療が複雑化するため、どうしても費用が多くかかる事と治療期間が長くなります。ただし、複数回の手術を行ってもよい、費用も高額でも構わない、治療期間が長くてもかまわないという患者様には第一選択となる場合があります。
- 治療の期間や通院回数は
どれくらいですか? -
手術自体は1回でその日に仮歯が入ります。術前審査は3回~6回ほどで2~4か月ほど、手術が終わって最終的な被せ物が入るまでは4回~6回ほどで半年ほどです。ただし患者様の要望によって仮歯の期間は変わります。
- 手術の痛みはありますか?入院の必要はありますか?
-
入院の必要はありません。手術中は静脈内沈静法を併用するため痛みは感じないことが多いです。術後は腫れと痛みが出ますが、痛み止めの服薬で通常の生活を送られることがおおいです。
- 誰でもオールオン4は
受けられますか? -
お医者さんに外科治療を止められている方はそもそもの手術が難しいです。また骨の形によっては別の方法の方をおススメする場合もあります。すべての患者様にAllOn4がベストというわけではありません。
RESERVATION
インプラント
個別相談受付中
個別相談を終えた後に
すっきりして
帰って頂けるように
当院では、インプラントの個別相談を実施しております。
インプラント治療に対する不安や疑問、また各種検査を通して
「インプラント以外の治療方法もないか」も含め、
一緒に検討させて頂きます。まずは、お気軽にご相談ください。
インプラント個別相談は、
当院でのインプラント治療を
強要するものではございませんので、
お気軽にご利用ください
-
Step 1カウンセリング
まずは歯の状態の現状をお聞かせください。患者様のお悩み、
インプラント治療に対する
疑問・不安をじっくり伺います -
-
Step 2検査
カウンセリングでお聞きした情報を
もとに、レントゲンや
CT撮影などで的確な
検査・診断を行います -
-
Step 3治療法のご提案
適切な治療を行えるよう、
検査結果をもとに大まかな治療方針をご提案し、費用についてもご説明
いたします
※詳細な治療計画については別途、精密検査が必要になります。


































