インビザライン認定ドクター
医院が行う矯正治療

歯並びだけでなく、
美しい横顔顔立ち
までトータルに整えます。

無料相談実施中

invisalign

お気軽にご相談ください

  • 「目立たずに歯並びを整えたい」 「目立たずに歯並びを整えたい」
  • 「子どもの歯並びが気になる」 「子どもの歯並びが気になる」
  • 透明で
    目立ちにくい
  • 痛みや違和感が
    少ない
  • 取り外し可能
    で衛生的
透明で目立ちにくい 痛みや違和感が少ない 取り外し可能で衛生的 invisalign

無料相談実施中

invisalign

お気軽にご相談ください

  • 「目立たずに歯並びを整えたい」 「目立たずに歯並びを整えたい」
  • 「子どもの歯並びが気になる」 「子どもの歯並びが気になる」

歯並びでお悩みのかたは無料相談をご利用ください

無料相談実施中

お気軽にご予約ください

  • カウンセリング カウンセリング
  • 簡易診断 簡易診断
  • 精密検査 精密検査
先生

9:00-12:00 / 14:00-18:00(金曜の午後は15:00-18:30)
※ 最終受付は30分前までとなります。
※ 水・土は午前のみ/日・祝休診

矯正が初めての方もご安心ください。カウンセリングはいつでも無料で承ります。ご相談だけでも歓迎です。「目立たずに歯並びを整えたい」「子どもの歯並びが気になる」など、どんなお悩みでもまずはお気軽にご相談ください。

TROUBLE

こんなお悩みはありませんか?

  • 虫歯や歯周病に
    ならないか不安
  • 費用が
    どれくらい
    かかるか心配
  • きれいな
    噛み合わせに
    なるか気になる
  • 日常生活に
    支障が出ないか
    心配
  • 周囲にバレずに
    歯並びを
    整えたい

こんなお悩みをお持ちの方は
マウスピース矯正
おすすめです。

REASON

下村歯科が選ばれる理由

先生 インビザライン認定ドクター 宮崎で上位1% invisalign Wライセンス取得医院

01

インビザラインGo/フル
両ライセンス取得医院

世界中で信頼されるマウスピース矯正「インビザライン」を導入。
当院は部分矯正用「Go」と全顎矯正用「フル」のダブルライセンス取得医院として、症状に応じた最適な治療をご提案します。

インビザライン認定ドクター 宮崎で上位1% invisalign Wライセンス取得医院
女性

02

顔立ちまで考えた
美しい仕上がりへ

「セファロ分析」によって横顔のラインや全体のバランスまで考慮。
見た目の美しさにこだわった矯正設計を行います。

  • 高性能
  • 緻密な
    治療方針

セファロレントゲンによる骨格分析

セファロレントゲンは、顔の骨格なども含めた診断が可能な矯正治療専用のレントゲンです。顎の大きさや位置、歯の角度や距離、密度などをmm単位で計測し、精度の高い検査・診断を行います。

03

プチ矯正から
本格矯正・
小児矯正
まで幅広く対応

前歯だけの部分矯正から全体の咬み合わせ治療まで。
お子さまの成長に合わせた小児矯正にも対応し、将来的な抜歯リスクの軽減を目指します。

  • 部分矯正

    部分矯正

  • 矯正治療

    矯正治療

  • 小児矯正

    小児矯正

治療

04

3Dシミュレーション&
iTeroスキャンによる
精密診断

従来の粘土のような型取りは不要。iTero Luminaでの3Dスキャン(無料)で快適な型取りを実現。
治療前には3Dシミュレーションで仕上がりを確認できるので安心です。

3Dシミュレーション
受付

05

追加料金なしの
「トータ
ルフィーシステム」

初診相談・再診・歯型取り・リテーナー(保定装置)・矯正用アンカースクリュー・顎間ゴム・抜歯症例加算・5年保証など、すべて込み

追加費用は一切なし!

  • 診相談・再診

    初診相談・再診

  • レントゲン

    レントゲン

  • 歯型取り

    歯型取り

  • リテーナー

    リテーナー(保定装置)

  • リテーナー

    矯正用アンカー
    スクリュー

  • リテーナー

    顎間ゴム

  • リテーナー

    抜歯症例加算

  • リテーナー

    5年保証

治療

06

当院のみで
治療が完結します

口腔外科・審美治療も対応、他院通院不要
親知らずの抜歯や銀歯のやり直しもすべて当院内で対応可能。
大学病院などに通う必要はありません。

口腔外科 審美歯科 ホワイトニング インプラント

COMPARISON

マウスピース矯正と
他の矯正装置の違いは?

比較表 比較表

CASE

症例紹介

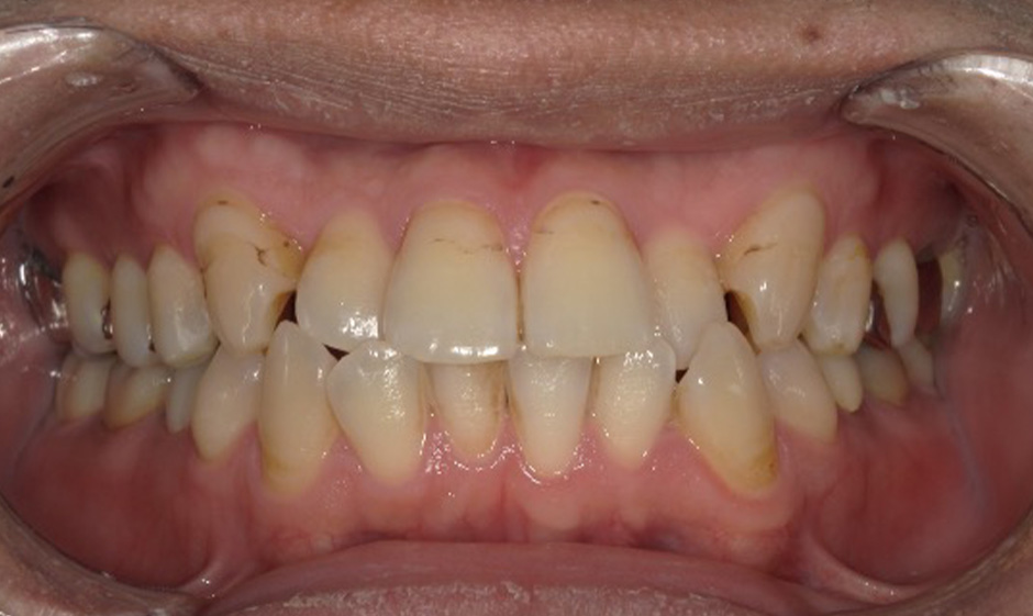
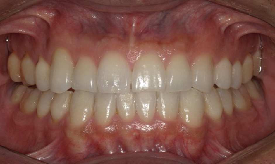
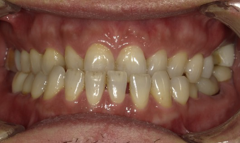
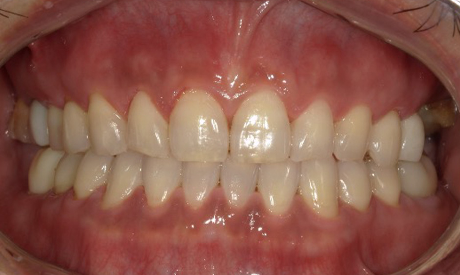
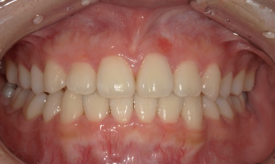
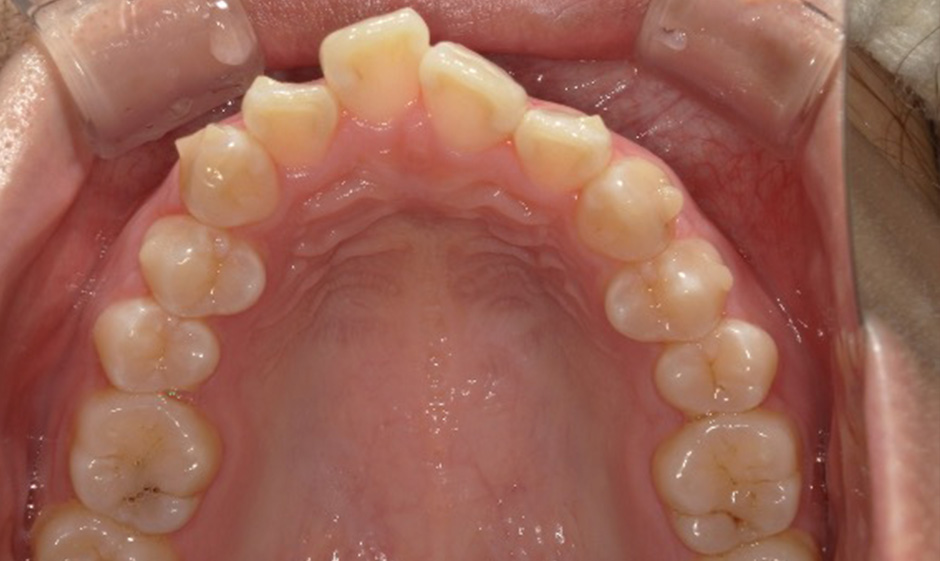
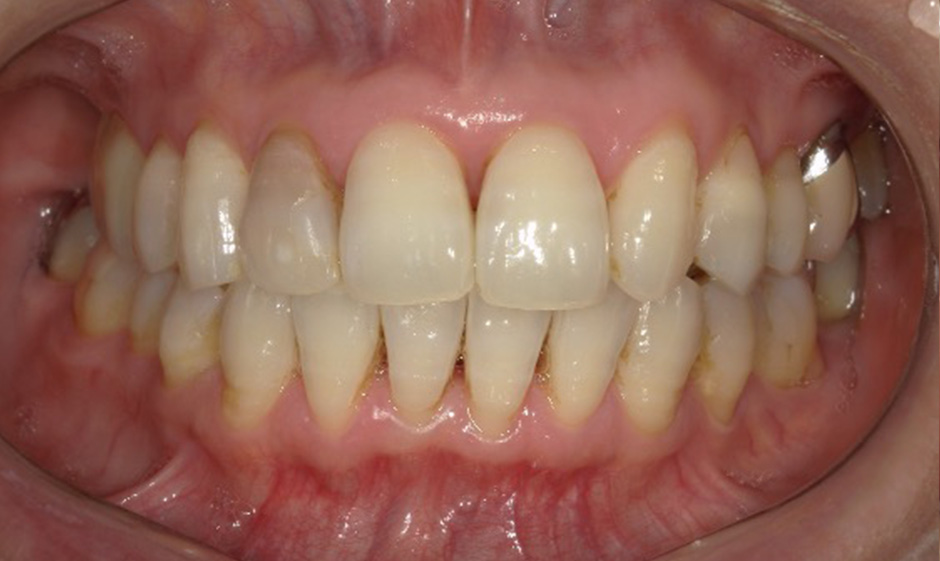
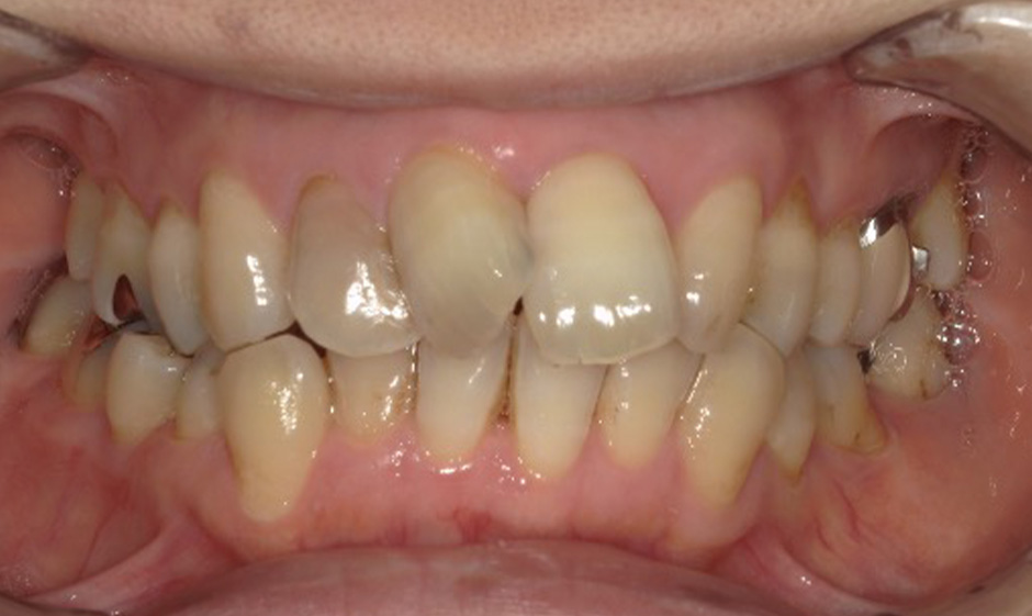
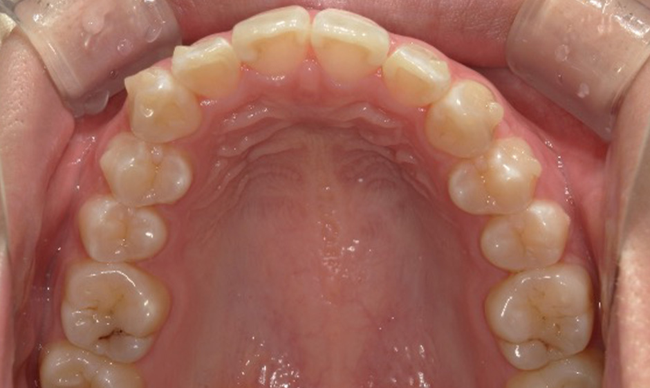
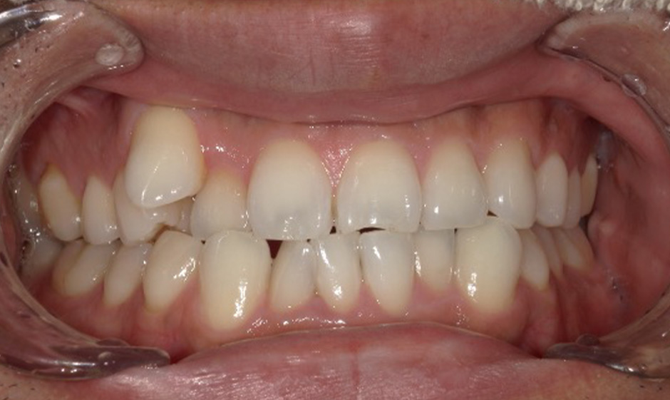
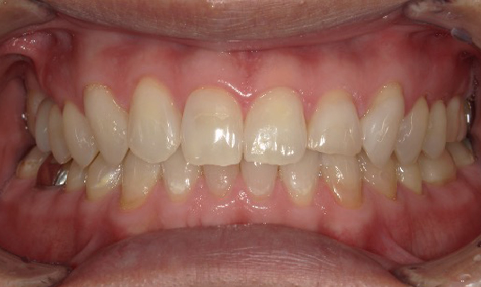
CASE01

Before

症例

After

症例
主訴 上も下も凸凹してるのが気になる
治療期間 2年4カ月
治療費 880,000円(税込968,000円)
治療内容 ・インビザライン
・顎間ゴム
リスク・副作用 1日に20時間以上装着しないと、予定通りに歯が動かないことがあります。装着後数日痛みがあります。

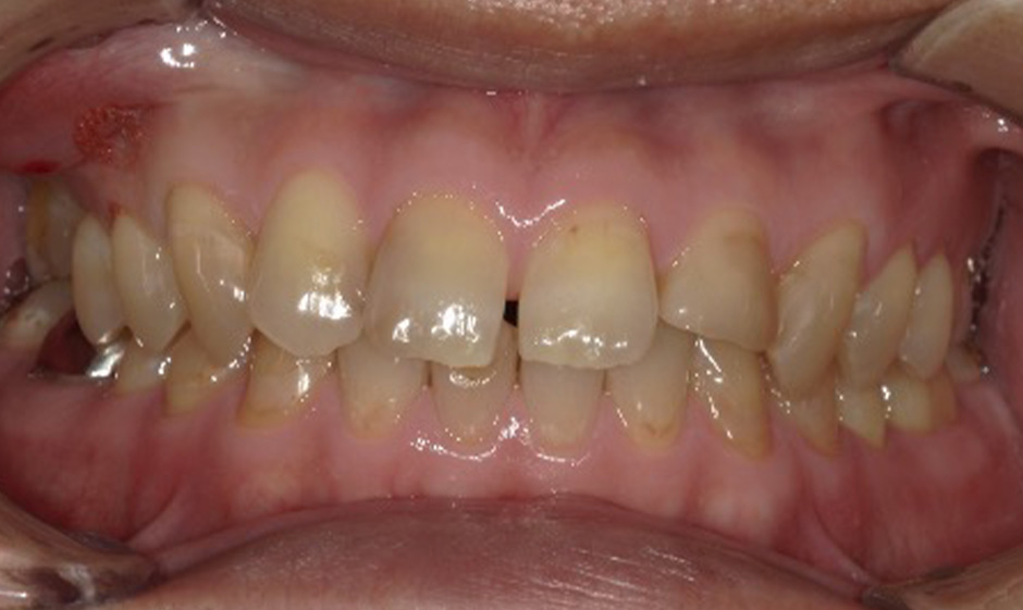
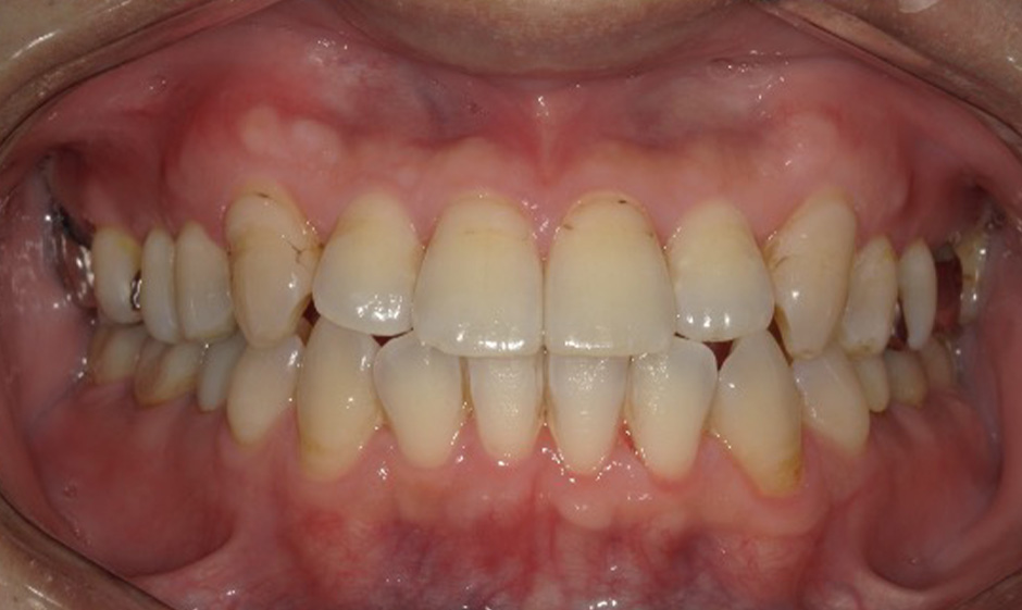
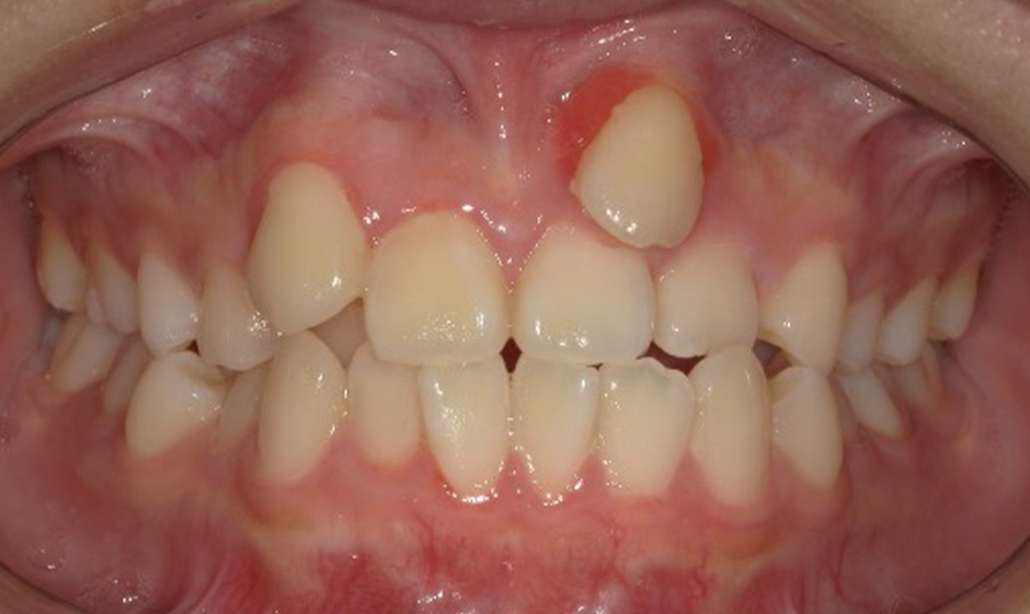
CASE02

Before

症例

After

症例
主訴 上の八重歯と、上下の凸凹がきになる
治療期間 2年
治療費 880,000円(税込968,000円)
治療内容 ・インビザライン
・右上3、左上3、右下4、左下4 抜歯
・顎間ゴム
リスク・副作用 1日に20時間以上装着しないと、予定通りに歯が動かないことがあります。装着後数日痛みがあります。

CASE03

Before

症例

After

症例
主訴 受け口を治したい
治療期間 2年
治療費 880,000円(税込968,000円)
治療内容 ・インビザライン
・顎間ゴム
リスク・副作用 1日に20時間以上装着しないと、予定通りに歯が動かないことがあります。装着後数日痛みがあります。

CASE04

Before

症例

After

症例
主訴 上の前歯が飛び出してるのを治したい
治療期間 3ヵ月
治療費 350,000円(税込385,000円)
治療内容 ・インビザラインGo
・上顎のみ
リスク・副作用 1日に20時間以上装着しないと、予定通りに歯が動かないことがあります。装着後数日痛みがあります。

CASE05

Before

症例

After

症例
主訴 八重歯と上下の凸凹を治したい
治療期間 2年6ヶ月
治療費 880,000円(税込968,000円)
治療内容 ・インビザライン
・右上4 抜歯
・顎間ゴム
リスク・副作用 1日に20時間以上装着しないと、予定通りに歯が動かないことがあります。装着後数日痛みがあります。

CASE06

Before

症例

After

症例
主訴 上下の凸凹と重なりを治したい
治療期間 1年
治療費 450,000円(税込495,000円)
治療内容 インビザラインGo
リスク・副作用 1日に20時間以上装着しないと、予定通りに歯が動かないことがあります。装着後数日痛みがあります。

CASE07

Before

症例

After

症例
主訴 前歯のすきっぱを治したい
右上の奥歯にインプラントを入れたいけどスペースがなくインプラントを入れられないと言われた
治療期間 1年6ヶ月
治療費 880,000円(税込968,000円)
治療内容 ・インビザライン
・顎間ゴム
リスク・副作用 規定時間以上装着しないと、予定通りに歯が動かないことがあります。装着後数日痛みがあります。

MOUTHPIECE

マウスピース型矯正装置
(インビザライン)について

歯並びのさまざまな悩みに
お応えするマウスピース矯正

それがインビザラインです!

インビザライン

インビザラインによる矯正治療では、マウスピース型の矯正装置を使用します。この透明な装置は目立ちにくく、見た目を気にする方でも始めやすい治療法です。歯並びを整えるために抜歯が必要な方や、大きく歯を動かす必要がある場合にも対応できるのが特徴です。インビザラインは世界各国で広く使用されており、2024年3月時点で1,500万人以上の実績があります。

merit

マウスピース型矯正装置
(インビザライン)が
多くの患者様に選ばれている理由

  • MERIT

    01

    インビザライン

    目立ちにくい

    透明なプラスチック製のマウスピースは、装着中でも目立ちにくいのが特徴です。矯正していることを周りに知られたくない方や、人前で話す機会が多い方におすすめです。

  • MERIT

    02

    装置が取り外せる

    装置が取り外せる

    必要な時には、患者さんご自身でマウスピースを取り外すことができます。普段通りに食事を楽しめる上、歯磨きもきちんとできるので、むし歯や歯周病のリスクを軽減できます。

  • MERIT

    03

    出費を抑えられる

    出費を抑えられる

    マウスピース矯正は、ワイヤー矯正と比べて定期通院の間隔が長く、回数も少なくて済むのが特徴です。通院や装置の調整にかかる手間や費用を軽減できる点もメリットです。

  • MERIT

    04

    治療期間が短い

    治療期間が短い

    歯並びの乱れが比較的軽い場合、短期間で治療が完了することもあります。マウスピース矯正で歯並びが整うかどうかなど、気になる点はぜひお気軽にご相談ください。

  • MERIT

    05

    痛みや違和感が少ない

    痛みや違和感が少ない

    マウスピースは薄く柔らかいプラスチック素材で作られており、口内を傷つける心配がほとんどありません。また、違和感が少なく、痛みに敏感な方にも適しています。

  • MERIT

    06

    金属アレルギーの心配がない

    金属アレルギーの
    心配がない

    マウスピースはプラスチック製で、金属を使用していないため、金属アレルギーの方でも安心してご使用いただけます。

さまざまな歯並びの乱れに対応できます

インビザラインは世界各国でさまざまな状態の歯並び改善に使用されてきた
豊富な実績がありますので、幅広い歯並びや噛み合わせに柔軟に対応できます。

  • ガタガタ

    ガタガタ

  • 出っ歯

    出っ歯

  • 下顎が出ている

    下顎が出ている

  • すきっ歯

    すきっ歯

  • 噛み合わせのズレ

    噛み合わせの
    ズレ

  • 噛み合わせが深い

    噛み合わせが
    深い

  • 口が閉じない

    口が閉じない

歯並びでお悩みのかたは無料相談をご利用ください

無料相談実施中

お気軽にご予約ください

  • カウンセリング カウンセリング
  • 簡易診断 簡易診断
  • 精密検査 精密検査
先生

9:00-12:00 / 14:00-18:00(金曜の午後は15:00-18:30)
※ 最終受付は30分前までとなります。
※ 水・土は午前のみ/日・祝休診

矯正が初めての方もご安心ください。カウンセリングはいつでも無料で承ります。ご相談だけでも歓迎です。「目立たずに歯並びを整えたい」「子どもの歯並びが気になる」など、どんなお悩みでもまずはお気軽にご相談ください。

Flow

マウスピース矯正の流れ

  • 無料カウンセリング

    01.

    無料カウンセリング

    患者様のご希望やお悩みを丁寧にお伺いし、歯並びや咬み合わせの大まかな状態を確認いたします。 治療方法や期間、費用についての概要をご説明いたします。

  • 精密検査

    02.

    精密検査

    CT撮影、口腔内写真撮影、iTeroスキャンによる歯列データ取得など、詳細な検査を行います。
    骨格や歯周組織の状態を把握し、安全かつ精度の高い診断を可能にします。

  • 診療・治療計画の説明

    03.

    診療・治療計画の説明

    検査結果に基づき、最適と考えられる治療方針をご提示いたします。
    シミュレーション画像を用いて、治療の進行や最終的な歯列の予測について具体的にご説明し、十分にご理解・ご同意いただいたうえで治療を開始します。

  • 治療開始

    04.

    治療開始

    作製したマウスピース型矯正装置(インビザライン)を段階的に装着し、計画に沿って歯を移動させていきます。
    定期的にご来院いただき、進行状況の確認と必要に応じた調整を行います。

  • 保定期間

    05.

    保定期間

    歯の移動が完了した後は、リテーナー(保定装置)を装着し、歯が後戻りしないよう安定させます。 保定期間を経て、長期的に良好な歯列・咬合の維持を目指します。

PRICE

料金について

当院の矯正料金システム

当院は「治療費定額制」(トータルフィーシステム)を採用していますので、
治療前に提示した金額のみで治療を受けていただけます。

  • 全顎矯正

    (インビザライン)

    120回払いの場合

    月々9,527円~

    88万円(税込96.8万円) 【歯並び 5年保証】

  • 部分矯正

    (インビザラインGO)

    120回払いの場合

    月々3,789円~

    片顎35万円(税込38.5万円) 【歯並び 2年保証】

    上下顎45万円(税込49.5万円) 【歯並び 2年保証】

    ※片顎=上顎もしくは下顎の片方のみ

  • 矯正治療後の
    軽度の後戻りの治療

    (インビザライン リタッチ)

    120回払いの場合

    月々2,707円~

    片顎25万円(税込27.5万円) 【歯並び 6ヶ月保証】

    上下顎30万円(税込33万円) 【歯並び 6ヶ月保証】

    ※片顎=上顎もしくは下顎の片方のみ

  • 小児矯正

    (インビザラインファースト)

    120回払いの場合

    月々6,496円~

    60万円(税込66万円)

※歯の動きや歯並びによって治療期間が異なる場合があります

お支払い方法

当院では現金のほか、振り込み、
クレジットカード、院内分割での
お支払いに対応しています。

  • 現金

    現金・振込での
    お支払いが可能です。

  • クレジットカード

    VISA、MASTER、
    JCB、AMERICANEXPRESS
    などが利用可能です。

  • デンタルローン

    低金利分割払いでの
    お支払い

医療費控除について

医療費控除とは、1年間(1月1日~12月31日)に10万円以上の医療費を支払った場合に受けられる、一定金額の所得控除を指します。ご自身の支払いはもちろん、生計を共にするご家族さまが支払った医療費も対象となります。詳しくは国税庁のホームページをご覧ください。

Q&A

よくあるご質問

マウスピース矯正って
本当に目立ちませんか?
ワイヤー矯正と比較して非常に目立ちにくく、通常の距離感でお話しするくらいでは気が付かないことが多いです。至近距離でみると光沢感がありマウスピースを装着していることが分かります。
マウスピース矯正は
どんな歯並びでも対応できますか?
基本的にはすべての歯並びに対応しております。ただし、マウスピース単独では難しい場合は、顎間ゴム、矯正用アンカースクリューなどを併用します。
費用が心配ですが、
追加料金はかかりますか?
当院の矯正治療は、すべての費用が含まれております。初診相談料・再診料・調整料・レントゲン料・歯型取り料・リテーナー料・矯正用アンカースクリュー料・顎間ゴム料など、一般的に追加費用となる上記費用に関して当院では頂いておりません。
治療前に仕上がりイメージを
見ることはできますか?
矯正治療の3Dシミュレーションをご提示します。また顔貌写真と仕上がりの3Dシミュレーションをマッチングさせた画像、CT画像と3Dシミュレーションをマッチングさせた画像をお見せしますのでお顔全体としての仕上がりを確認できます。
無料相談ではどんなことが
聞けますか?
無料相談では、患者様のお口の3Dスキャンを一緒に見ながら治療方法/予測される費用/予測される期間/代替方法などを説明させていただきます。治療をご希望されるときはセファロレントゲンやCTを撮影し顔貌診断と矯正のシミュレーションを行ってまいります。
治療期間はどのくらいですか?
部分矯正(前歯だけの矯正)で半年~1年程度。通常の全額矯正で1年~3年程度です。
通院頻度はどれくらいですか?
1~2ヵ月に1度です。初めのうちは多く来てもらい、慣れてきたら2か月に1度になる事が多いです。
痛みはどれくらいですか?
院長自ら、ワイヤー矯正とインビザラインのどちらも経験済みです。その経験から言うと、ワイヤー矯正はずっと痛いし口内炎がつらい」「インビザラインは初めの3日痛いけどなれたらほとんどいたくない。口内炎できなくて楽」という感想です。あくまで個人の感想ですが、インビザラインで強い痛みを訴え続ける患者様は今のところいらっしゃいません。
抜歯はしたくないのですけど
抜歯はしますか?
必要なければ抜歯はしません。今は矯正用アンカースクリューという補助装置があり抜歯が必要なケースは大幅に減りました。ただし、抜歯をしないと骨から歯が飛び出してしますケースや、仕上がりが【おちょぼ口】や【バードフェイス】になってしまうケースでは抜歯は必須です。セファロレントゲンによる顔貌審査と、CTによる骨格審査を行い抜歯が不要か必要か判断します。なんでも抜歯するわけではなく極力抜歯はしない方法を模索し、どうしても必要であれば抜歯を提案します。
先生の矯正の経験は?
東京科学大学(東京医科歯科大学)での3年間の臨床で指導医の下、簡単な部分矯正を行ってまいりました。東京都内の医療法人での分院長での勤務期間に専門医の指導のもとワイヤー矯正とマウスピース矯正を行ってまいりました。2019年の開業後、他社製のマウスピースとワイヤー矯正を行っておりましたが、2021年インビザラインを導入してからは、日々多くの講習会や勉強会に参加し治療の幅や品質を常に向上させております。

歯並びでお悩みのかたは無料相談をご利用ください

無料相談実施中

お気軽にご予約ください

  • カウンセリング カウンセリング
  • 簡易診断 簡易診断
  • 精密検査 精密検査
先生

9:00-12:00 / 14:00-18:00(金曜の午後は15:00-18:30)
※ 最終受付は30分前までとなります。
※ 水・土は午前のみ/日・祝休診

矯正が初めての方もご安心ください。カウンセリングはいつでも無料で承ります。ご相談だけでも歓迎です。「目立たずに歯並びを整えたい」「子どもの歯並びが気になる」など、どんなお悩みでもまずはお気軽にご相談ください。

Doctor

院長挨拶

インビザライン認定ドクター 宮崎で上位1% invisalign Wライセンス取得医院

目立たず快適に、
あなたらしい笑顔へ

インビザライン 認定ドクター

下村 昌弘 Masahiro Shimomura

はじめまして。理事長の下村 昌弘と申します。
小林市で開業するまでに、大学病院で3年間、東京都内の法人で5年間、指導医のもと矯正治療を学んできました。 私自身も歯並びに悩み、ワイヤー矯正とマウスピース矯正の両方の治療を受けました。 治療中の不安や気になる点、装置のつけ心地など、患者様目線で分かることが多く、矯正を終えたときには、見た目の良さ、食事のしやすさ、日々の心地よさ、が大きく変わることを実感しました。私と同じように歯並びで悩まれている小林市の皆さまのお力になれれば幸いです。マウスピース矯正は、ワイヤー矯正に比べて痛みが少なく、むし歯や口臭のリスクも抑えられる、とても優れた治療法です。抜歯症例や反対咬合など、以前はマウスピースでは難しいとされていた動きも、顎間ゴムや矯正用アンカースクリューを併用することで、今では幅広い症例に対応できるようになっています。

インビザラインには、
・全体の歯並びを整える「インビザラインフル」
・前歯の部分的な矯正を行う「インビザラインGo」
の2種類があり、症例によって向き・不向きが異なります。

部分矯正を無理に選ぶと十分な仕上がりにならないことがありますし、反対に、簡単なケースはインビザラインGoで負担を少なくきれいに治る場合もあります。当院では、患者様の歯並びやご希望を丁寧に伺い、その方にとって無理がなく、納得して進められる治療方法をご提案いたします。簡易シミュレーションは無料で行えます。
「自分の歯並びは治せるのかな?」という小さな疑問からで大丈夫ですので、どうぞお気軽にご相談ください。一緒に安心して進めていける環境をご用意しております。不安なことや気になることがあれば、どんなことでもお話しください。

経歴

  • 東京科学大学(旧東京医科歯科大学)
  • 国立大学法人 東京科学大学(旧東京医科歯科大学)
    卒業
  • 東京科学大学(旧東京医科歯科大学)歯学部付属病院 勤務

資格・所属学会

  • 日本矯正歯科学会 インビザライン認定ドクター
  • CiAOアライナー矯正勉強会
  • CiAOアライナー矯正ベーシックコース
  • CiAOアライナー矯正アドバンスコース
  • 日本口腔インプラント学会
  • 日本臨床歯周病学会
  • インプラント認証専門医(CIE)

CLINIC

院内紹介

設備紹介

口腔内スキャナー
(iTero Lumina)

お口の中の歯型取りを、粘土を使わず行うことのできる機械です。
レーザーのようなもので、お口の中を直接スキャンすることができるので、歯型取りの粘土の変形や、歯の模型の変形などの影響を受けず、精度の高い被せものを作ることができます。
また、歯型取りが苦手な方も比較的楽に行うことが可能です。

設備紹介

CT

あごの骨、歯の中を立体的に見ることができます。
今まで見落としていた病気の発見や、治療が困難であった歯の治療、安全なインプラント治療や親知らずの抜歯などに役立てることができます。

設備紹介

セファロレントゲン
(矯正用レントゲン)

セファロレントゲンとは、顔の骨格と歯の並び方を診断するためのレントゲンです。
一般的な歯科ではあまり利用されず撮影できる歯科医院は非常に限られています。セファロレントゲンを利用することで、顎のずれや、歯の位置の異常の診断や、 どのくらい出っ歯なのか、どのくらい矯正で歯を動かすと美しい顔貌になるかなど、 お顔と口元と歯並びを総合的に診断することができます。 矯正歯科分野や、全顎インプラントなどで用いります。